Articles in this Volume

Research Article Open Access
Oncolytic Virotherapy's Current and Prospective Applications in the Management of Melanoma
Article thumbnail
Oncolytic viruses (OVs) have emerged as a groundbreaking class of cancer therapeutics, demonstrating remarkable potential in the treatment of melanoma in recent years. By lysing and infecting tumor cells only, these viruses cause systemic antitumor immune responses while avoiding harm to healthy organs. This article provides a systematic review of the clinical applications of OVs in melanoma therapy, based on an analysis of relevant literature from the PubMed database spanning 2021 to 2025. The findings highlight that herpes simplex virus type 1 (HSV-1) and V937 (a modified coxsackievirus) are the most commonly utilized oncolytic viruses due to their proven safety profiles and tumor-targeting efficiency. Granulocyte-macrophage colony-stimulating factor (GM-CSF) serves as the predominant transgene, enhancing immune activation by promoting dendritic cell recruitment and T-cell priming. Melanoma, particularly advanced or metastatic forms that are resistant to conventional therapies, remains the primary target of OV-based treatments. The main routes of administration include intratumoral injection (for localized lesions) and intravenous delivery (for disseminated disease). Notably, combination therapies involving OVs and immune checkpoint inhibitors (such as anti-PD-1/PD-L1 antibodies) have shown synergistic effects, significantly improving response rates and survival outcomes in clinical trials. However, challenges such as variability in clinical responses, the potential for preexisting immunity to limit efficacy, and the need for optimized delivery methods persist. Despite the promising potential of OVs in melanoma treatment, further research is essential to optimize their clinical application.
Show more
Read Article PDF
Cite
Research Article Open Access
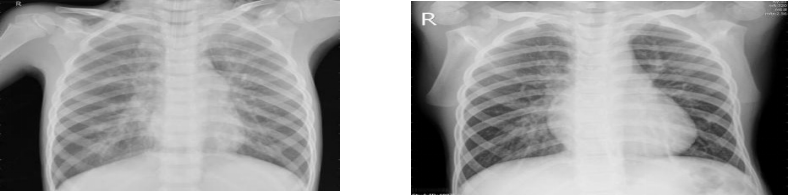
Research on an Intelligent Pneumonia Diagnosis Model Based on Improved Convolutional Neural Networks Using Chest X-ray Images
Article thumbnail
Pneumonia, a common health concern today, requires early and accurate diagnosis. Chest X-ray examinations play a critical role in the early detection of pneumonia. To enhance diagnostic accuracy, this study utilizes a deep learning-based convolutional neural network (CNN) model, trained on a dataset of 5,216 chest X-ray images obtained from pediatric patients aged 1-5 years at Guangzhou Women and Children's Medical Center. Among these, 3,875 images show signs of pneumonia and 1,341 images are normal, serving as the training and testing data for the model. By incorporating Dropout techniques and Batch Normalization methods, the model’s robustness and generalization ability were significantly improved. Experimental results demonstrate that the model achieves a diagnostic accuracy of 97.83%, which will effectively alleviate physicians’ workload and holds substantial clinical application value.
Show more
Read Article PDF
Cite
Research Article Open Access
Research and Application Prospects Analysis of Artificial Intelligence and Machine Learning in Weight Loss
This paper studies the research achievements of artificial intelligence (AI) and machine learning in Weight Loss in the past decade and analyzes the impacts and application prospects of AI and machine learning on Weight Loss. Obesity has become the most significant threat to human health. It is estimated that the global number of obese people will exceed 2.16 billion in 2023. AI and machine learning can analyze a large amount of complex data (including genetic, gene expression, metabolic, gut microbiota, hormonal, dietary, behavioral, and environmental factors, etc.) more efficiently and accurately. They have opened new avenues in areas such as analyzing the causes of obesity, predicting obesity risks, diagnosing obesity and determining its subtypes, providing personalized and precise nutrition plans, and offering psychological support, making it possible to address the weight loss issues of such a large-scale population. This paper systematically analyzes the integration of relevant scientific research achievements with various links in Weight Loss, exploring the direction for the further practical and commercial transformation of scientific research achievements. At the same time, based on the urgent pain points in Weight Loss applications, it analyzes the current research gaps and deficiencies and proposes suggestions for future scientific research directions.
Show more
Read Article PDF
Cite
Research Article Open Access
The Relationship Between ACL Injury and Sports Performance of Basketball Players
Anterior cruciate ligament (ACL) injuries are common and serious musculoskeletal injuries in basketball players, with significant impact on both performance and career. Basketball players are particularly susceptible to ACL ruptures, primarily through non-contact mechanisms, due to the frequent high-impact movements involved in the sport, such as rapid changes of direction, deceleration, and unstable landings. Recent evidence suggests that anatomical factors such as narrow intercondylar femoral notch width, increased posterior tibial tilt, and shortened ACL length are important factors in the risk of ACL injury. Clinical diagnosis of ACL injury is usually performed with a combination of manual examination and magnetic resonance imaging (MRI), and surgical reconstruction remains the standard of care to restore knee function to athletes. Postoperative outcomes depend largely on a systematic, long-term rehabilitation strategy aimed at improving muscle strength, neuromuscular control, and limb symmetry. In addition, psychological factors—particularly fear of re-injury and decreased self-efficacy—can significantly impact an athlete's ability to successfully return to competitive play. This article systematically reviews the epidemiological characteristics, anatomical risk factors of lower limbs, injury mechanisms, and diagnosis and rehabilitation strategies of ACL injuries. It focuses on the innovative perspective of quantitative analysis of the anatomical risk factors of ACL injuries in basketball players based on high-quality English literature in the past five years, and deeply discusses the impact of ACL injuries on the short-term and long-term sports performance of basketball players.
Show more
Read Article PDF
Cite
Research Article Open Access
Artificial Intelligence Algorithms and Applications in Medical Robotics
AI has changed the modern healthcare landscape, especially its use in medical robots. The paper explores the core AI algorithms (machine learning, deep learning, reinforcement learning, computer vision, and natural language processing). It applies to medical robotics, including surgical assistance, diagnostics, rehabilitation, disaster response, and telepresence. Although these technologies have many advantages, like precision, speed, and better patient outcomes, there are still issues of data privacy, ethical queries, and disparities in access. The study goes on to identify limitations, technical integration barriers, and future directions for mental health robotics and intelligent hospital automation. The results indicate that AI-powered robotics are potent tools for personalized, efficient, and available health care in the next era.
Show more
Read Article PDF
Cite
Research Article Open Access
Research on the Treatment of Neuro - Oncological Tumors with Targeted Drugs
Gliomas have a relatively high incidence and a remarkable degree of malignancy. Traditional treatment methods often have adverse effects on the central nervous system during their application. Targeted drugs, as a cutting - edge treatment approach, can precisely act on specific targets of tumor cells and imped the growth, proliferation, survival, and metastasis processes of tumor cells. This article elaborates on the classification of neuro - oncological tumors and targeted drugs and deeply analyzes the mechanism of targeted drugs in the treatment of neuro - oncological tumors from aspects such as inhibiting tumor growth, blocking angiogenesis, regulating iron metabolism, and reducing drug resistance. Targeted drugs have significant advantages in combination therapy. However, currently, this field faces problems such as insufficient target diversity, tumor heterogeneity and drug resistance, toxicity to normal tissues, and high costs. Looking ahead, research on targeted therapy for neuro - oncological tumors should focus on developing new targets, optimizing combination therapy regimens, overcoming drug resistance, and innovating drug delivery systems, providing more solid theoretical basis and practical guidance for the clinical diagnosis and treatment of neuro - oncological tumors.
Show more
Read Article PDF
Cite
Research Article Open Access
Inter-Discipline Between Mathematical Modeling, Statistical Inference and Biology
This paper mainly studies the interdisciplinary applications of mathematics and statistics considering biological systems and their defining attributes with special attention to their role in ecological and epidemiological modeling. It outlines how the exponential and logistic models, along with the Lotka-Volterra systems, reproduce the population and species interaction dynamics on a mathematical level. The importance of compartmental models in infectious disease modeling is also discussed, explaining what makes SIR so crucial to the process. Then, it provides examples including statistical estimation of parameters, such as least squares, maximum likelihood, and Bayesian reasoning to explain the observation theoretically verged with actual reality. This work as a whole illustrates the explanatory and practical rigor and formality applied alongside biological issues tackled through mathematics and statistically advanced techniques.
Show more
Read Article PDF
Cite
Research Article Open Access
Spatiotemporal Transcriptomic Dissection of Tumor-Associated Macrophage Heterogeneity and Dual-Function Molecular Nodes in Pancreatic Ductal Adenocarcinoma
Article thumbnail
Many studies have shown that pancreatic cancer is one of the cancers with extremely high mortality. The poor prognosis and lack of early diagnostic methods remain major challenges in the treatment of this cancer. In this article, in order to better detect the occurrence of pancreatic cancer, tools such as monocle3, singleR, harmony in R, and scanpy in Python were used to analyze the cells and genes of pancreatic cancer tissues in mice. By analyzing the data, the following results were obtained: T-cells in healthy PBMCs exhibited broader spatial dispersion than in PDAC tissues, suggesting tumor-driven immune surveillance impairment, while PDAC-associated macrophages displayed expanded distribution linked to pro-tumorigenic functions such as COL1A1-mediated ECM remodeling; Pseudotemporal trajectory analysis revealed myeloid progenitor bifurcation into monocytes/macrophages, with PDAC macrophages showing epigenetically silenced cytotoxic pathways such as suppressed GZMA/NKG7 and enhanced ribosomal biogenesis; Tissue-specific markers such as LCN2 in healthy and CTRB1/AMY2A in PDAC) and spatial co-localization of macrophages/tumor cells highlighted NOP53 as a dual-function hub—inhibiting PI3K-AKT while activating p53—and SPP1 as a paradoxical regulator of metastasis and antitumor immunity; Differential expression and GO enrichment analyses identified ribosomal biogenesis and cytoplasmic translation as PDAC-enriched pathways, contrasting with suppressed stress responses. Our spatial transcriptomic profiling further resolved elevated NOP53, CFB, and SPP1 expression gradients in PDAC tissues, proposing these as diagnostic biomarkers.
Show more
Read Article PDF
Cite
Research Article Open Access
Children's Height Prediction Based on the Optimization of the Bidirectional Gated Recurrent Unit Model by Convolutional Neural Networks
Article thumbnail
This study aims at the problem of children's height prediction and proposes a fusion optimization model based on convolutional neural Network (CNN) and bidirectional gated recurrent unit (BiGRU). By integrating multi-dimensional physiological indicators such as children's family background and auxin levels, a temporal feature analysis framework was constructed, and systematic comparative experiments were conducted with mainstream regression models. The results show that the regression performances of each model present significant difference characteristics: The CNN-BiGRU model has made breakthrough progress in three core indicators: mean square error (MSE=5.093), coefficient of determination (R²=0.996), and mean absolute percentage error (MAPE=1.799%). Among them, the MSE value decreased by 81.7% compared with the suboptimal model decision tree (27.791). MAPE was 64.4% lower than XGBoost (5.054%), and R² was close to the theoretical limit value, proving that this model has excellent data fitting ability and prediction stability. The experimental results not only provide quantitative analysis tools for the study of the mechanism of auxin action, but also establish a reliable prediction model for the clinical formulation of personalized height intervention plans, which has important practical value and scientific research significance in the field of children's health management.
Show more
Read Article PDF
Cite
Research Article Open Access
Investigation of the Relationship Between NADK and RSL3 and Exploration of Potential Usage of RSL3: Potential Applications of RSL3: Insights from Its Relationship with NADK
Lung cancer remains the leading cause of cancer-related deaths, and ferroptosis has emerged as a potential therapeutic target due to its role in tumor suppression. RSL3, a GPX4 inhibitor, and NADK knockdown both promote ferroptosis, but their relationship in lung cancer treatment remains unexplored. Cell viability was assessed using the MTT assay, ferroptosis was measured via the BIPOC assay, and NADK levels were analyzed by Western blot. Positive controls included H₂O₂ for NADK, erastin for ferroptosis, and taxol for cell viability, while PBS served as the negative control. Eight possible experimental outcomes were identified, each offering different insights into the effects of RSL3 on ferroptosis and NADK levels. The results determine whether RSL3 reduces NADK in addition to promoting ferroptosis, which could impact future combination therapy strategies. This study examines whether RSL3 reduces NADK while inducing ferroptosis in A549 cells, potentially eliminating the need for separate NADK-reducing drugs. If no direct effect on NADK is observed, a combination of RSL3 and NADK inhibitors could be considered to enhance ferroptosis-based cancer therapy.
Show more
Read Article PDF
Cite